El astigmatismo afecta al 38% de la población y en el 91% de los casos se asocia a otro problema visual
El astigmatismo afecta al 38% de la población, según el Estudio de la Visión en España 2025 de Clínica Baviera. […]
El astigmatismo afecta al 38% de la población, según el Estudio de la Visión en España 2025 de Clínica Baviera. […]
Investigadores del IR Sant Pau y el IIBB-CSIC han identificado una nueva proteína en sangre, EPAC1, como un marcador para […]
Un líder en coma, otro atrapado por la depresión, un presidente ebrio durante una crisis nuclear. Estas no son escenas […]
El bioquímico ha cuestionado las afirmaciones del Gobierno sobre el aumento de la inversión en ciencia: "A nosotros no nos ha llegado"
El misterio de por qué el universo está hecho de materia y no de antimateria ha dado un paso más […]
Un topo del pasado ha salido a la luz con una historia inesperada. Un equipo de paleontólogos ha identificado en […]
En la sierra de Atapuerca, un nuevo yacimiento comienza a desvelar secretos milenarios bajo el nombre de Cueva Fantasma. Es, […]
La compañía farmacéutica Angelini Pharma ha celebrado su sexta Jornada de Voluntariado junto a Banco Farmacéutico, un encuentro dedicado a […]
Un equipo de paleontólogos del grupo de investigación Aragosaurus-IUCA de la Universidad de Zaragoza ha identificado, por primera vez, restos fósiles de oso de las […]
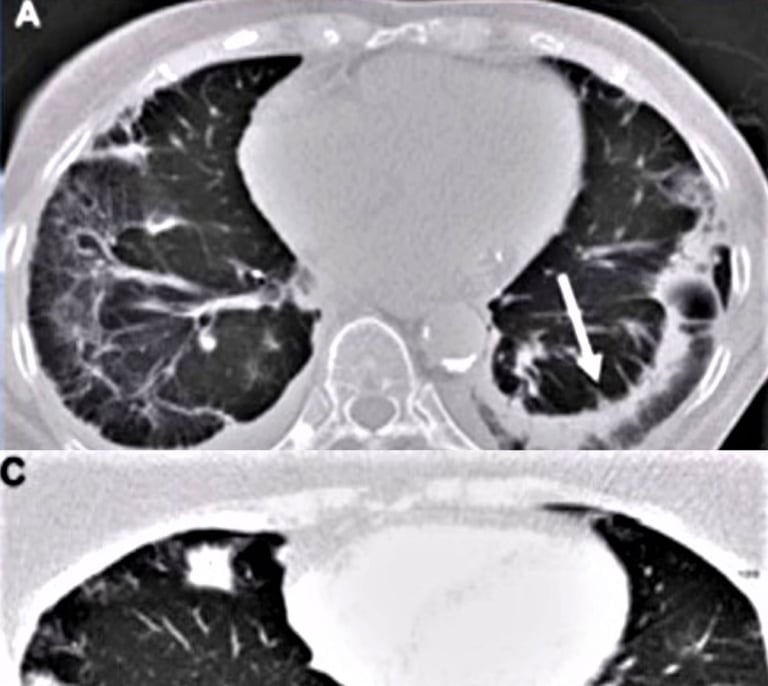
Boehringer Ingelheim ha presentado, en el marco del Congreso Separ 2025, los resultados de sus últimos ensayos clínicos Fibroneer-IPF y […]
La capital francesa reunió a expertos internacionales en fertilidad con motivo del 41º Congreso de la Sociedad Europea de Reproducción […]
El profesor de la Universidad de Sevilla José María Martín Olalla ha publicado un artículo en el que resuelve un […]
El factor que hace olvidar los sueños al despertar varía según el mes y la edad
Los miembros del Grupo de Investigación BIO-HPC de la Universidad Católica de Murcia (UCAM), Horacio Pérez y Alejandro Rodríguez, han […]
Termina la undécima edición del congreso que IVI organiza bienalmente, y lo hace reconociendo la labor científica y periodística de […]
El grupo de investigación Solti, Geicam, la Sociedad Española de Enfermería Oncológica (SEEO), la Federación Española de Cáncer de Mama […]
La Fundación ”la Caixa” ha otorgado 100 nuevas becas de doctorado y posdoctorado a investigadores excelentes para proyectos en universidades […]
ISDIN, laboratorio líder en fotoprotección y dermatología, ha realizado una donación de 25.000 euros a la Fundación FERO para ayudar […]
Australis acerca al viajero la exploración de los fiordos y glaciares más australes del planeta ayudando además a la investigación científica
Peptides have garnered significant attention in various scientific domains due to their versatile roles as bioactive molecules that may potentially […]
Lo más visto