Un revolucionario implante ocular inalámbrico ha permitido recuperar la visión central y la capacidad de leer en pacientes afectados por degeneración macular asociada a la edad (DMAE) avanzada, según un ensayo clínico internacional publicado esta semana en el New England Journal of Medicine.
La DMAE en su fase más grave es responsable de la ceguera irreversible de más de cinco millones de personas en el mundo, la mayoría de ellas mayores de 60 años. Hasta la fecha, no existía tratamiento eficaz para esta dolencia.
El estudio, dirigido por investigadores de centros de referencia en oftalmología como la Universidad de Pittsburgh, Universidad de Stanford, University College Londres y la Universidad de Bonn, muestra resultados esperanzadores: de 32 pacientes que completaron 12 meses de seguimiento, el 81% alcanzó mejoras clínicamente significativas en agudeza visual tras recibir el dispositivo y un 84% pudo utilizar su “visión protésica” para leer números y palabras en casa. En promedio, los participantes mejoraron cinco líneas en la cartilla de visión estándar al emplear el implante combinado con unas gafas de realidad aumentada.

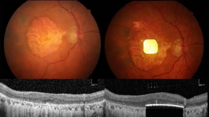
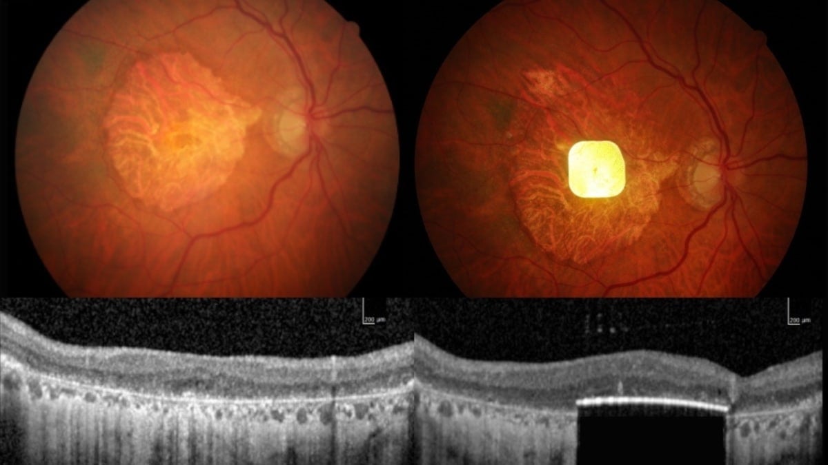
El sistema, denominado PRIMA, consiste en un microchip de apenas 2mm, más fino que un cabello humano, que se inserta bajo la retina del paciente mediante una cirugía ambulatoria de menos de dos horas. El usuario porta unas gafas especiales que captan imágenes a través de una cámara y las proyectan mediante luz infrarroja al chip implantado. Algoritmos de inteligencia artificial procesan la información y la convierten en señales eléctricas que viajan por el nervio óptico hasta el cerebro, permitiendo al paciente “ver” y leer de nuevo.
Conchi Lillo, líder del grupo Trastornos degenerativos del sistema visual en el Instituto de Neurociencias de Castilla y León y profesora de la Universidad de Salamanca, asegura que “PRIMA, es un gran avance en la neuroestimulación retiniana, ya que la DMAE, a día de hoy, es la principal causa de ceguera irreversible y actualmente no hay terapias que restauren la visión o la curen”, asegura en declaraciones a Science Media Centre de España. “Hasta la fecha, las terapias aprobadas solo buscan ralentizar la progresión de la degeneración, no restaurar la visión perdida”, añade.
El ensayo, realizado en 17 hospitales repartidos por Reino Unido, Francia, Italia y Holanda, abre la vía para la aprobación y comercialización del dispositivo PRIMA. Los investigadores destacan que este sistema pionero podría, en el futuro, aplicarse para tratar otras enfermedades oculares hasta ahora incurables.

“Era como tener dos discos negros en los ojos y perder mi mundo de libros. El equipo me reta cada día; ahora soy capaz de leer palabras pequeñas o hacer crucigramas. Ha supuesto una diferencia enorme en mi vida y me ha devuelto el optimismo”, ha declarado la paciente británica Sheila Irvine.
El doctor Mahi Muqit, responsable del ensayo en el hospital Moorfields de Londres, subraya que “la capacidad de leer supone una mejora radical en la calidad de vida de estos pacientes y demuestra que la rehabilitación es clave para aprender a interpretar esta nueva visión”.
Te puede interesar
Lo más visto